Pregnancy Update: 17 Weeks (with Marae)

Thank y’all so much for the continued support and prayers. We truly appreciate your kindness. Just to give you an update—I am currently 17 weeks pregnant.

Have I Felt Any Movements?

Yes! I started feeling small flutters and light kicks around 13 weeks, but they weren’t very consistent. Some days I’d feel one nudge, and then I might not feel anything again for two or three days. That pattern continued until about 16 weeks.

Around 16 weeks, I began feeling kicks every day—usually once or twice. Now that I’m 17 weeks, I feel the baby throughout the day, especially at night and when I’m leaning back on the couch. Those moments are definitely my favorite.

How Am I Growing?

I haven’t really gained much weight so far. I’ve gained about 4 pounds total and didn’t gain any weight during my first trimester. My nutritionist said I should gain about a pound per week during my second and third trimesters.

I also haven’t been nauseous since entering my second trimester, so I can pretty much eat whatever I want—except crab legs. I still believe this baby does not like them, and I am not trying to puke again.

Not Finding Out Our Baby’s Sex

We will not be finding out the sex of our baby until birth, so I’d really appreciate it if everyone stopped asking. We chose this path because we thought it would be more exciting.

My last two pregnancies were boys, so this pregnancy feels extra special—especially since we got pregnant naturally. Truly a gift from God.

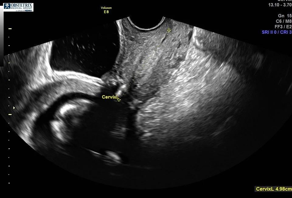
Cervical Length & TAC Update

Given my pregnancy history and my incompetent cervix, I will continue to have cervical length checks every two weeksuntil about 26–28 weeks.

At my recent 16-week cervical check, my cervix measured almost 5 cm long, which is amazing news. We were also able to see all three TAC bands placed by Dr. Haney.

(Photos below show the three TAC bands.)

Stay tuned for more pictures and pregnancy updates. If you haven’t read my pregnancy announcement yet, you can click here to see how and when I found out I was pregnant.

Also, don’t forget to watch and subscribe to our YouTube channel, GoodwinSZN, for live updates along the way.

With love,
Mrs. Goodwin

Previous
Previous

Pregnancy Update: 18 Weeks

Next
Next

I Am a Mom to Four Angel Babies